Before & After Smiles

All-on-X Implant Reconstruction

Experience the transformative power of our All-on-X implant technology. View real patient results that showcase the life changing difference our treatment can make.

Before Before - Case 1
After After - Case 1
Before Before - Case 2
After After - Case 2
Before Before - Case 3
After After - Case 3
Before Before - Case 4
After After - Case 4
Before Before - Case 5
After After - Case 5
Before Before - Case 6
After After - Case 6

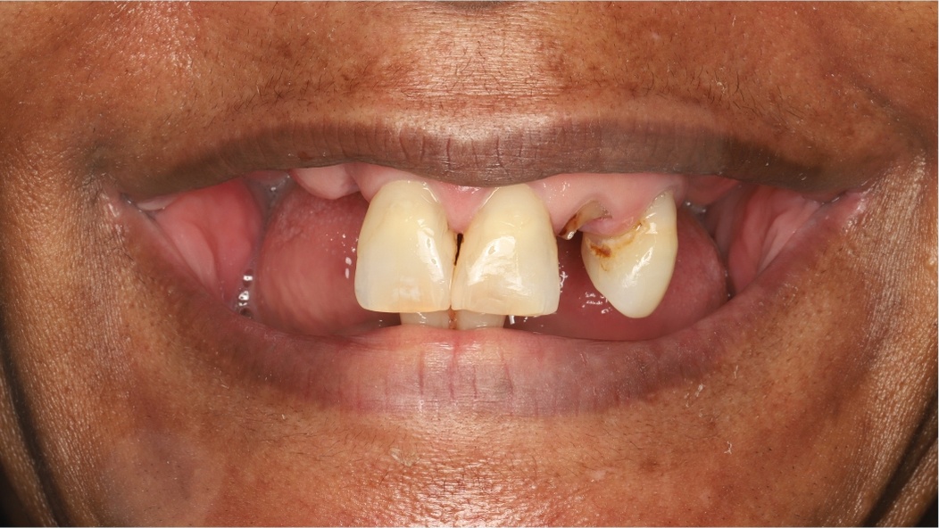
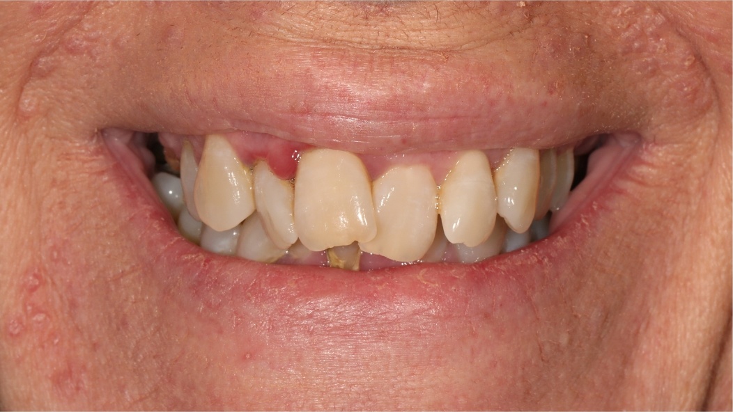
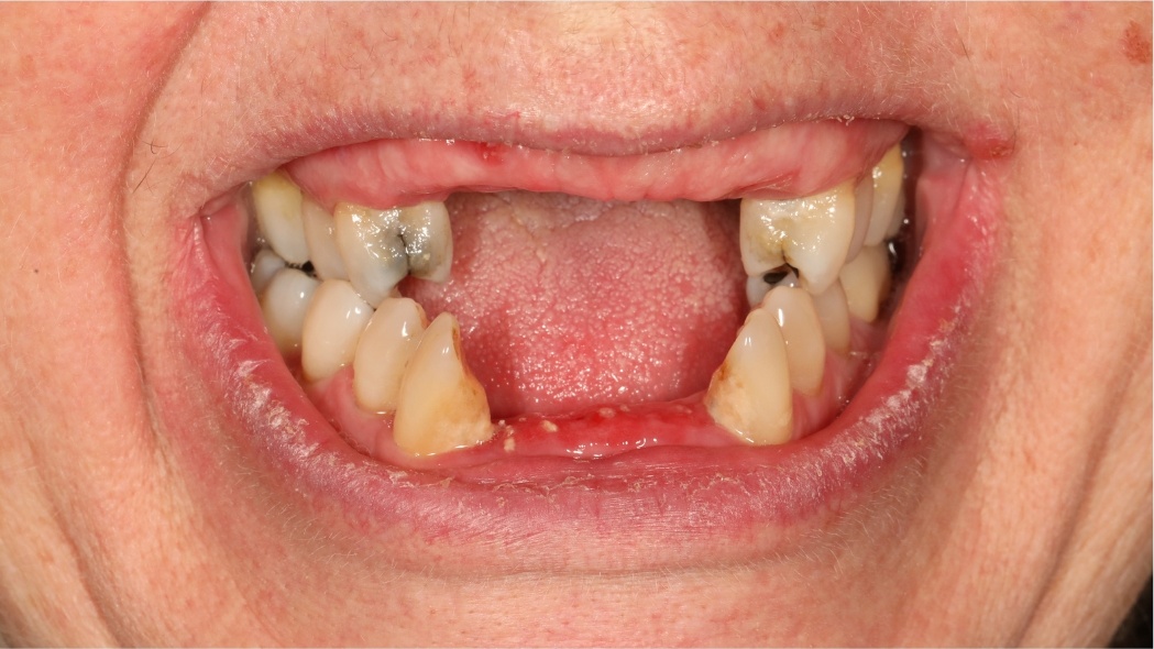
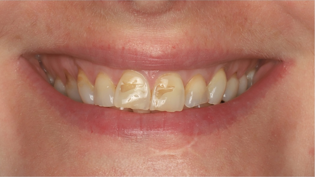
Full Mouth Restoration

When you have missing or damaged teeth, we offer advanced treatments to restore your chewing function and help you smile with confidence again. See how our real patients achieved happy, healthy smiles with treatments such as dental implants, veneers, crowns, and bridges.

Before Before - Case 1
After After - Case 1
Before Before - Case 2
After After - Case 2
Before Before - Case 3
After After - Case 3
Before Before - Case 4
After After - Case 4
Before Before - Case 5
After After - Case 5